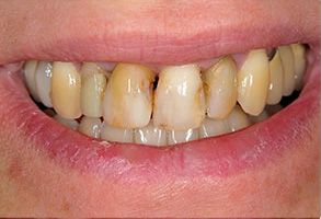
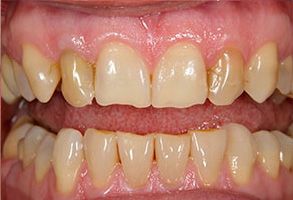
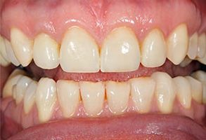
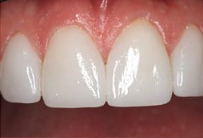
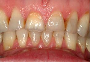
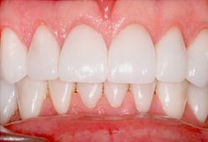
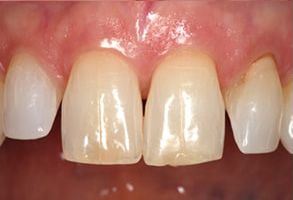
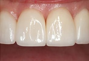
At Zen Dentistry, we provide exceptional dental care in Garden City and the neighboring communities. Our modern office is equipped with state-of-the-art technology to maximize your comfort and deliver outstanding results. Whether you need routine preventative care, cosmetic enhancements, or immediate emergency treatment, our experienced doctors are committed to helping you and your family achieve beautiful, healthy smiles. We believe in transparent communication, personalized treatment, and a gentle, patient-focused approach that prioritizes comfort and education. Experience high-quality dental care in a warm, welcoming environment. Book your appointment today and discover the Zen Dentistry difference.


















